Gutachten für BG und Unfallversicherungen. Terminvereinbarung unter 08071-776201
Arbeitsunfälle und prästationäre Abklärung
Mo. 12:30-14:00 Uhr
Di. 09:00-12:00 Uhr
Mi. 09:00-11:00 Uhr
Do. 09:00-12:00 Uhr
Fr. 10:00-13:30 Uhr
Tel. Vereinbarung unter:
08071 77 6201
Privatsprechstunde
Gelenksprechstunde und Sportorthopädie
PD Dr. med. Helmut Wegmann
Moi. 09:00-11:00 Uhr
Fußsprechstunde
Kristina Dehm
08071 77 6201
Do. 09:00-12:00 Uhr
Schultersprechstunde
Dr. Wölfel
08071 77 6201
Fr. 10:00-13:30 Uhr

Als zertifiziertes lokales Traumazentrum stehen wir rund um die Uhr für Sie bereit. Wir behandeln zuverlässig Knochenbrüche, Gelenkverletzungen und Weichteilschäden. Schwerstverletzte PatientInnen werden im interdisziplinären Team im Schockraum nach den internationalen ATLS-Standard zunächst stabilisiert und anschließend im Operationssaal oder auf der Intensivstation weiter versorgt. Um jederzeit bestmögliche Ergebnisse zu gewährleisten, trainiert unser Team monatlich mit realistischen Verletzungsszenarien. Komplexe Brüche mit Weichteil- und Gefäßschäden werden zusätzlich durch Gefäßrekonstruktion oder Weichteilverschiebeoperationen versorgt. So stellen wir sicher, dass Sie in jeder Situation, dass Sie in jeder Situation eine umfassende und leitliniengerechte Versorgung erhalten.
Die patellofemorale Instabilität bezeichnet das wiederholte Herausspringen der Kniescheibe, oft verbunden mit Schmerzen, Schwellung und einem Unsicherheitsgefühl im Knie. Um langfristige Schäden zu vermeiden, ist eine präzise Diagnostik entscheidend. Mithilfe moderner Bildgebung und klinischer Untersuchung bestimmen wir individuell die Ursache der Instabilität und erstellen eine auf Anatomie, Alltag und sportliche Ziele abgestimmte Therapie. Häufig wird das mediale patellofemorale Ligament (MPFL) rekonstruiert, um die Kniescheibe wieder sicher zu führen. In komplexeren Fällen können zusätzliche Verfahren wie Trochleoplastik oder Beinachsenkorrekturen notwendig sein. Ziel ist eine stabile, schmerzfreie Kniefunktion und die sichere Rückkehr in Alltag und Sport.
Knorpelschäden im Knie entstehen durch Verletzungen oder Verschleiß und führen häufig zu Schmerzen und eingeschränkter Beweglichkeit. Eine präzise Diagnostik ist entscheidend, um die passende Therapie zu wählen. Akute Knorpelabsprengungen behandeln wir gelenkerhaltend durch Refixation. Bei größeren Defekten nutzen wir die autologe Knorpeltransplantation im Minced‑Cartilage‑Verfahren, bei dem körpereigener Knorpel zerkleinert und in den Defekt eingebracht wird, um die Regeneration zu fördern. Ergänzend kann eine PRP‑Therapie die Heilung unterstützen. Bei beginnender Arthrose prüfen wir, ob eine Korrektur der Beinachse sinnvoll ist, um die Belastung im Gelenk zu optimieren und Schmerzen zu reduzieren. Ziel ist eine individuell abgestimmte Behandlung, die Ihre Mobilität langfristig erhält.

Großer Knorpelschaden an der Rückseite der Kniescheibe.
A: Bild mit der Arthroskopischen Kamera auf den Knorpelschaden. Knorpel wird aus dem Knie des Patienten gewonnen, mit Eigenblut aufbereitet und direktt wieder implantiert. B: Fotodokumentation des 3x2cm großen Knorpelschadens C: Der Defekt wurde mit aufbereiteten Eigenknorpel aufgefüllt. D: Arthroskopisches Bild 1,5 Jahre nach der Operation. Es hat sich eine schöne neue Knorpelschicht gebildet.
Chronische Knieschmerzen können durch eine Fehlstellung der Beinachse entstehen. Eine gezielte Achskorrektur verteilt die Belastung im Gelenk neu, lindert Schmerzen und kann den Verschleiß verlangsamen. Die HTO (High Tibial Osteotomy) korrigiert das Schienbein, wenn die Innenseite des Kniegelenks überlastet ist. Durch das Einfügen oder Entfernen kleiner Knochenkeile wird die Achse so angepasst, dass die Last gleichmäßiger verteilt wird. Die DFO (Distal Femoral Osteotomy) korrigiert den Oberschenkelknochen, wenn die Fehlstellung von dort ausgeht. Beide Verfahren entlasten das Gelenk, erhalten die natürliche Funktion und können helfen, eine spätere Knieprothese zu vermeiden.

Software gestützte Planung der Operation.
Auf dem Bild A ist die Ausgangssituation mit den O-Beinen beidseits dargestellt. Auf dem Bild B das geplante Operations-Ergebnis mit den geraden Beinachsen. Bild C: Operationsergebnis mit Osteotomie und Plattenversorgung. Die Knochenlücke füllt sich rasch mit neuem Knochen auf.
Meniskusverletzungen zählen zu den häufigsten Knieproblemen – verursacht durch Sport, Unfälle oder Verschleiß. Der Meniskus dient als Stoßdämpfer und schützt den Gelenkknorpel. Bei einem Riss können Schmerzen, Blockierungen und langfristige Schäden entstehen. Da Meniskusrisse sehr unterschiedlich sind, planen wir die Behandlung individuell. Dazu gehören radiäre und horizontale Risse, Root‑ und Ramp‑Läsionen, die teils erst in der Arthroskopie sichtbar werden. Wenn möglich, nähen wir den Meniskus, um ihn zu erhalten. Bei degenerativen oder ungünstigen Rissformen kann eine schonende Glättung sinnvoll sein, um Reizungen zu reduzieren. Die Therapie richtet sich auch nach Ihrem Aktivitätsniveau. Ziel ist es, Beschwerden zu lindern, und Ihr Aktivitätsniveau langfristig zu sichern.
Eine Schulterinstabilität entsteht häufig nach einer Ausrenkung der Schulter. Nach dem Einrenken und einer kurzen Ruhigstellung prüfen wir mithilfe von MRT und ggf. CT genau, ob Strukturen wie das Labrum oder knöcherne Anteile verletzt sind. Solche Schäden erhöhen – je nach Alter, Belastung und sportlicher Aktivität – das Risiko für erneute Luxationen. Die Therapie wird individuell geplant: Bei geringem Risiko setzen wir auf gezielte Physiotherapie zur Stabilisierung. Bei höherem Risiko empfehlen wir eine minimalinvasive Operation, bei der das Labrum und falls nötig auch die Gelenkspfanne rekonstruiert werden. Eine strukturierte Nachbehandlung mit Reha und Kontrollen unterstützt die Heilung. Ziel ist eine dauerhaft stabile Schulter für Alltag, Beruf und Sport.
Das diabetische Fußsyndrom entsteht durch Durchblutungsstörungen, Nervenschäden und Fehlbelastungen. Es kann zu chronischen Wunden, Infektionen, Fehlstellungen und im schlimmsten Fall zu Amputationen führen. Auch andere Ursachen einer Polyneuropathie, z.B. Chemotherapie, können ähnliche Schäden verursachen. Eine besondere Form ist der Charcot‑Fuß, bei dem das Fußskelett zusammenbricht. Die Behandlung erfordert interdisziplinäres Vorgehen. In unserer spezialisierten Fußsprechstunde prüfen wir Durchblutung, Nervenfunktion, Fehlstellungen und erstellen einen individuellen Therapieplan. Wichtig sind professionelle Wundversorgung, orthopädische Schuhe und bei Bedarf minimalinvasive Operationen zur Korrektur von Fehlstellungen. Ziel ist ein stabiler, belastbarer Fuß und der Erhalt der Mobilität.
Konservative Behandlungen
- Wundversorgung und -abklärung interdisziplinär mit unserem Wundmanagement
- Abklärung von Fehlbelastungen im Ganglabor
- Druckentlastung mit speziellen Orthesen und orthopädische Schuhversorgung
- Anlage von speziellen Gipsverbänden (Total Contact Cast) zur Behandlung des Charcot-Fußes
- Abklärung der Durchblutungssituation
Operative Behandlungen (minimalinvasiv)
- Korrektur von Fehlstellungen der Klein- und Großzehen
- Korrektur von Fehlstellungen der Mittelfußknochen
- Sehnenverlängerungen, auch der Achillessehne
- Abtragung von störenden Knochenvorsprüngen, insbesondere beim Charcot-Fuß
Weitere operative Behandlungen
- Aufwändige Rekonstruktionen im Mittelfuß-, Rückfuß- und Sprunggelenksbereich bei Knochenzerstörung durch Infektionen oder die Charcot-Erkrankung
- Komplexe Behandlung von schweren Weichteil- und Knocheninfektionen mit modernen operativen Verfahren und interdisziplinärer Betreuung durch unser Antibiotic Stewardship-Team
- Maßgeschneiderte knöcherne Stabilisierung von minimalinvasiv eingebrachten Schrauben bis hin zum Ilizarov-Fixateur
Interdisziplinäre, operative Versorgung gemeinsam mit
Gefäßchirurgie, Plastischer Chirurgie und Bewegungsanalyse-Labor
Fehlstellungen des Vorfußes wie Hallux valgus, Hallux rigidus oder Kleinzehenfehlstellungen sowie Probleme im Mittel- und Rückfuß wie Plattfuß oder Haglund-Ferse gehören zu den häufigsten Ursachen für Fußschmerzen. Sie können das Gehen erschweren und die Auswahl geeigneter Schuhe einschränken. Zu Beginn stehen immer konservative Maßnahmen wie passende Schuhe, Einlagen, Polsterungen und gezielte Physiotherapie. Reichen diese nicht, kommen operative Verfahren zum Einsatz. Bei geringeren Fehlstellungen können minimalinvasive Eingriffe helfen, bei ausgeprägteren Veränderungen sind knöcherne Korrekturen oder Versteifungen nötig. Eine sorgfältige Nachbehandlung mit Verbänden, Orthesen und Physio sichert das Ergebnis. Ziel ist schmerzfreies Gehen und eine spürbare Verbesserung der Lebensqualität.
Die Omarthrose beschreibt den Verschleiß des Schultergelenks, bei dem der Knorpel zwischen Oberarmkopf und Schulterpfanne abgebaut wird. Dadurch entstehen Schmerzen und Bewegungseinschränkungen, besonders bei Tätigkeiten über Kopf. Die Diagnose erfolgt durch Untersuchung, Röntgen und bei Bedarf MRT. In frühen Stadien helfen Schmerzmittel, Physiotherapie und entzündungshemmende Injektionen. Wenn diese Maßnahmen nicht mehr ausreichen, kann eine individuell geplante Schulterprothese sinnvoll sein. Moderne Implantate werden softwaregestützt an Ihre Anatomie angepasst. Je nach Muskulatur kommen anatomische oder inverse Prothesen zum Einsatz. Eine strukturierte Rehabilitation mit Physiotherapie und Kontrollen unterstützt die Rückkehr in den Alltag. Ziel ist eine schmerzfreie, belastbare Schulter.
Kinder benötigen eine besonders einfühlsame und individuelle Betreuung. Eine Verletzung betrifft nicht nur das Kind, sondern belastet oft die ganze Familie. Deshalb achten wir auf eine kindgerechte Versorgung und eine vertrauensvolle Begleitung. Kleine Wunden können häufig schonend mit Hautkleber versorgt werden, Bandverletzungen mit passenden Orthesen. Muss operiert werden, sorgt ein erfahrenes Narkoseteam für Sicherheit, und Mutter‑Kind‑Betten ermöglichen eine vertraute Umgebung. Viele Knochenbrüche lassen sich mit Gips behandeln; dank des Remodelling‑Effekts können leichte Fehlstellungen bei offenen Wachstumsfugen von selbst korrigieren. Bei Bedarf setzen wir wachstumsschonende Verfahren wie TEN‑Drähte ein. Unsere Klinik verfügt über große Erfahrung, in der Versorgung von Kindern.
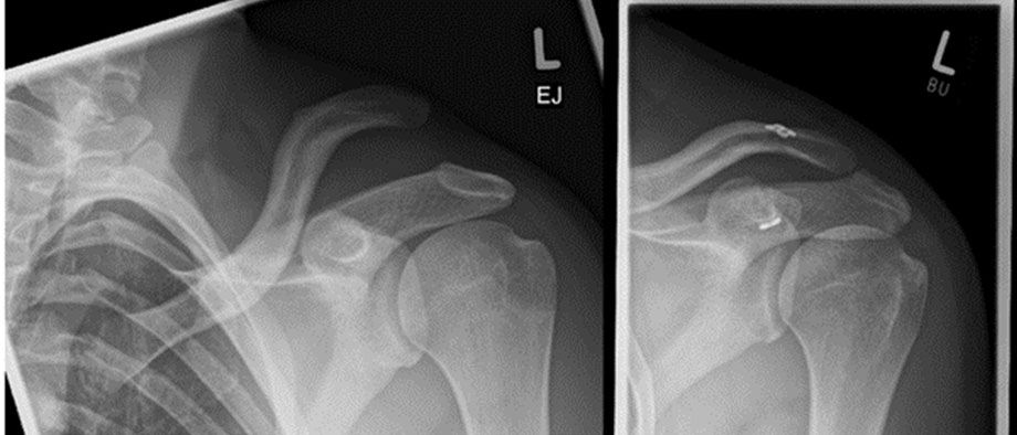
Eine Schultereckgelenkssprengung entsteht meist durch einen Sturz auf die Schulter. Dabei werden die stabilisierenden Bänder des AC‑Gelenks unterschiedlich stark verletzt. Leichtere Verletzungen behandeln wir konservativ mit Schmerzmitteln, kurzer Ruhigstellung und anschließender Physiotherapie zur Stabilisierung. Bei ausgeprägten Bandverletzungen ist eine Operation sinnvoll. Wir rekonstruieren die Bänder minimalinvasiv mit dem modernen Dogbone‑Button‑Verfahren, um die ursprüngliche Stabilität wiederherzustellen. Bei hoher beruflicher oder sportlicher Belastung wird häufiger operiert, um eine dauerhafte Instabilität zu vermeiden. Chronische Verletzungen können einen Sehnenersatz erfordern. Ziel ist eine individuell angepasste Therapie für eine stabile, belastbare und schmerzfreie Schulter.

Linkes Bild: Schlüsselbeinhochstand, sogenanntes Klaviertastenphänomen. Die stabilisierenden Bänder sind gerissen. Rechtes Bild: nach arthroskopischen Einbringen von 2 „Dogbone buttons“ sind die anatomischen Verhältnisse wieder hergestellt. Der Hochstand des Schlüsselbeins ist aufgehoben. Bis die körpereigenen Bänder wieder verheilt sind schützt das flaschenzugähnliche Konstrukt zwischen den zwei Metallplättchen die körpereigenen Bänder vor Belastung und übernimmt deren Funktion.








